
News


For decades, HIV has successfully evaded all efforts to create an effective vaccine but researchers at The Scripps Research Institute (TSRI) and the La Jolla Institute for Allergy and Immunology (LJI) are steadily inching closer. Their latest study, published in the current issue of Immunity, demonstrates that optimizing the mode and timing of vaccine delivery is crucial to inducing a protective immune response in a preclinical model.

Previous research has shown that pairing antibiotics can be more effective than using single drugs, but finding these perfect matches has proven elusive. Researchers at University of Utah Health have developed a rapid screening method to identify beneficial pairs of existing FDA-approved drugs to combat multi-drug resistant (MDR) bacterial infections. The results are published online in PLoS Biology.

The use of topical antibiotics can dramatically alter communities of bacteria that live on the skin, while the use of antiseptics has a much smaller, less durable impact. The study, conducted in mice in the laboratory of Elizabeth Grice, PhD, an assistant professor of dermatology in the Perelman School of Medicine at the University of Pennsylvania, is the first to show the long-term effects of antimicrobial drugs on the skin microbiome. Researchers published their findings today in the journal Antimicrobial Agents and Chemotherapy.





Patients with obesity have a higher risk of infection within 30 days after receiving heart bypass surgery, according to a series of studies conducted by University of Alberta researchers at the Faculty of Rehabilitation Medicine.

One of the most common insecticides used in the battle against the Aedes aegypti mosquito has no measurable impact when applied in communities where the mosquito has built up resistance to it, a study led by Emory University finds. The study is the first to show how vital insecticide-resistance monitoring is to control the Aedes mosquito -- which carries the viruses that cause Zika, dengue fever and yellow fever. The journal PLoS Neglected Tropical Diseases published the research.






As concerns over Zika virus have grown since 2015, the Centers for Disease Control and Prevention (CDC) has turned to local public health professionals to compile data on distribution of the two primary mosquito species capable of transmitting the virus, Aedes aegypti (the primary vector for Zika) and Aedes albopictus. Their findings highlight both the potential widespread presence of the mosquitoes as well as gaps in local surveillance capabilities crucial to understanding the threat of Zika and other mosquito-borne diseases such as dengue and chikungunya. Through a county-level survey of vector-control professionals, entomologists, and state and local health departments, conducted initially in 2015 and again in 2016, CDC researchers developed what they call "our best knowledge regarding the current distribution of Ae. aegypti and Ae. albopictus in the United States." Reported in the Entomological Society of America's Journal of Medical Entomology, the historical county-level records compiled by the CDC show Ae. aegypti reported in 220 counties in 28 states and the District of Columbia between 1995 and 2016 and Ae. albopictus reported in 1,368 counties in 40 states and DC during that time.


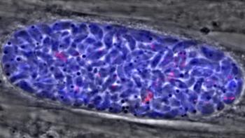
One in three people has a potentially nasty parasite hiding inside their body -- tucked away in tiny cysts that the immune system can’t eliminate and antibiotics can’t touch. But new research reveals clues about how to stop it: Interfere with its digestion during this stubborn dormant phase. If the discovery, made at the University of Michigan, leads to new treatments, it could help prevent a parasitic disease called toxoplasmosis that sickens people worldwide. For many people, the parasite Toxoplasma gondii only causes mild flu-like symptoms, often from food poisoning. After that initial infection, it usually goes into cyst phase and remains in the person’s body for the rest of their life.


Researchers have identified mutations in a gene called CARD11 that lead to atopic dermatitis, or eczema, an allergic skin disease. Scientists from the National Institute of Allergy and Infectious Diseases (NIAID), part of the National Institutes of Health, and other institutions discovered the mutations in four unrelated families with severe atopic dermatitis and studied the resulting cell-signaling defects that contribute to allergic disease. Their findings, reported in Nature Genetics, also suggest that some of these defects potentially could be corrected by supplementation with the amino acid glutamine.








