

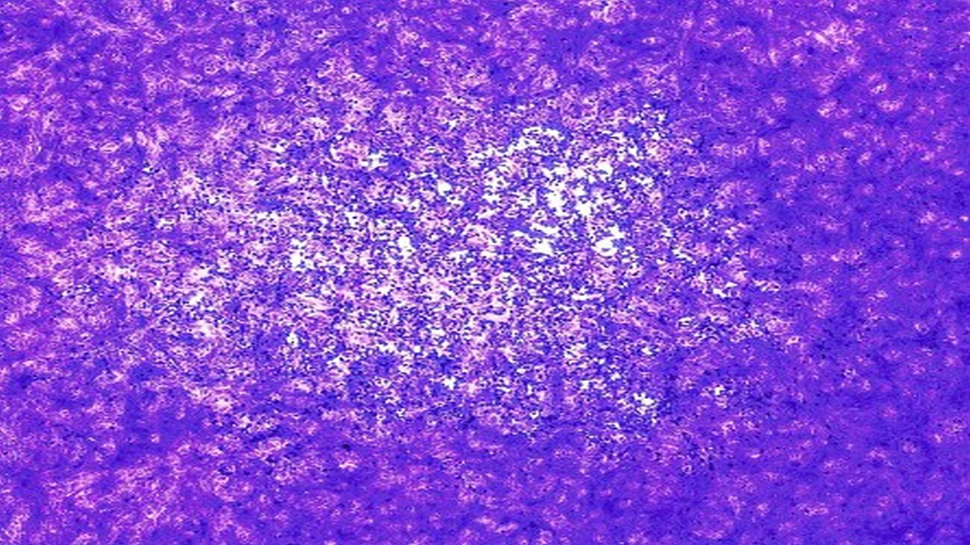
In this photo, Zika virus infection kills non-human primate epithelial cells. White gaps in the image show where Zika virus has disrupted a layer of healthy cells. Researchers analyzed infection in these cells to test the infectivity of the Zika virus, and protection conferred by virus-specific neutralizing antibodies. Published by PLOS Pathogens, the study suggests mothers with resolved prior asymptomatic Zika infection build immunity that will protect them and – if they later get pregnant -- their fetal offspring. Courtesy of Cincinnati Children's
Birth defects in babies born infected with Zika virus remain a major health concern. Now, scientists suggest the possibility that some women in high-risk Zika regions may already be protected and not know it. New research in PLOS Pathogens on Nov. 16, performed in mice, shows women who develop symptom-free Zika infections may be able to acquire immunity that would protect them from future infections and their offspring in a future pregnancy. The study was led by investigators at the Cincinnati Children’s Perinatal Institute.
During their study of Zika infection in pregnant mice, the authors found built-up immunity in previously infected mothers that continued into pregnancy and protected fetal tissues. Because the mothers had already cleared their non-symptomatic Zika infections, they developed high levels of protective immunoglobulin antibodies against the virus that researchers found in the animals.
Detection of these protective antibodies points to the possibility of developing diagnostic tests to identify naturally immune women and distinguish them from women at high risk of infection, according to researchers.
“We need more research to investigate the levels of antibodies generated when humans get infected, and how they work in women during pregnancy. But this opens up the possibility that some individuals likely have acquired natural resistance to infection,” said Sing Sing Way, MD, PhD, lead author and a pediatrician in the Division of Infectious Diseases. “There are promising efforts underway to develop a vaccine against Zika, but currently there isn’t one. These results suggest in lieu of a vaccine, Zika-fighting antibodies could be used therapeutically to help protect high-risk women.”
The ability to identify high-risk women would help develop focused therapeutic strategies for prevention, researchers say. They also suggest their findings point to the possibility of combining protective antibodies with an eventual vaccine, which could synergistically provide more a robust level of protection against Zika.
Way and his colleagues, including co-first authors Lucien Turner and Jeremy Kinder, PhD, stress that because study was in animal infection models, it’s premature to say how the findings will apply clinically. Future studies will include closer biological investigation to understand exactly how built-up immunoglobulin antibodies protect against Zika infection in mothers and their developing fetal offspring.
The study comes in the wake of an ongoing Zika epidemic and an explosion of cases involving fetal death, microcephaly (born with severely decreased head size), and other congenital birth defects. Researchers said expectant mothers are especially susceptible to Zika infection compared to non-pregnant women. If the virus is active during pregnancy, it usually spreads to vital tissues of a developing fetus.
Because Zika virus infection in healthy non-pregnant women is mostly asymptomatic, many women of reproductive age in high-risk regions have a cleared infection before pregnancy, according to researchers. High-risk regions of the world include areas of Africa and Central and South America, according to the US Centers for Disease Control and Prevention.
To investigate the impact of a prior infection on the susceptibility to reinfection, researchers infected two groups of mice with Zika.
One group had a previous asymptomatic infection that had resolved before scientists performed a second round of infection. They found that susceptibility to Zika virus infection was markedly reduced in mice that had previously cleared a prior infection compared to those undergoing a first infection during pregnancy.
Mice that didn’t have prior Zika infections developed clinical symptoms and sharply increased levels of Zika virus in their blood, which spread to fetal tissues.
Zika virus could not be found in most of the baby mice from mothers with resolved infection prior to pregnancy. Protection found in Zika-resistant mice could be transferred to susceptible mice with Zika virus neutralizing antibodies found in the blood of mice with prior asymptomatic infection.
The research was supported in part by the National Institute of Allergy and Infectious Disease (R01-AI100934, R01-AI120202), the March of Dimes Foundation, Howard Hughes Medical Institute Faculty Scholars program, and a Burroughs Wellcome Fund Pathogenesis of Infectious Disease award.
Source: Cincinnati Children's Hospital Medical Center
Stay prepared and protected with Infection Control Today's newsletter, delivering essential updates, best practices, and expert insights for infection preventionists.