
News









There are many reasons why bed bugs have made a comeback in recent decades, and their resistance to commonly used insecticides is one of the most widely accepted explanations. In a new paper published in the Journal of Economic Entomology, scientists from the University of Sydney and NSW Health Pathology describe how bed bugs are able to resist pyrethroid insecticides via metabolic detoxification, the process by which bed bugs break down insecticides.

Research scientists from A.N. Belozersky Institute of Physico-Chemical Biology, the Lomonosov Moscow State University demonstrated how it is possible to suppress the resistance of fungi to antifungal drugs. The results of the work which can serve as a basis for the development of effective antifungal pharmaceuticals have been published in the journal FEMS Yeast Research.


During World Immunization Week 2016, held April 24-30, the World Health Organization (WHO) highlights recent gains in immunization coverage, and outlines further steps countries can take to “Close the Immunization Gap” and meet global vaccination targets by 2020.


Efficacy of hospital-grade cleaners and disinfectants is one of the most widely scrutinized aspects of surface disinfection, yet this factor could be undermined by the lesser-known obstacle of materials compatibility -- how cleaning and disinfection chemistries interact with the materials from which healthcare equipment and surfaces are manufactured.










The difficulty in subduing the pandemic strain of drug-resistant E. coli, called H30, may go beyond patient vulnerability or antibiotic resistance. This form of the disease-pathogen may have an intrinsic ability to cause persistent, harmful, even deadly infections.



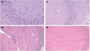
Researchers at the University of Wisconsin-Madison School of Veterinary Medicine (SVM) have developed one of the first mouse models for the study of Zika virus. The model will allow researchers to better understand how the virus causes disease and aid in the development of antiviral compounds and vaccines.


The World Health Organization (WHO), partners and affected countries are stepping up planning for how to use an Ebola vaccine in response to an outbreak. The Ebola outbreak that struck Guinea, Liberia, and Sierra Leone in 2014 prompted the search, on an exceptionally accelerated schedule, for a vaccine to prevent the disease. Although there has been more than one promising candidate, the vesicular stomatitis virus-ebola virus (VSV-EBOV) vaccine was selected based on an algorithm produced by the WHO Scientific and Technical Advisory Committee on Ebola Experimental Interventions for the critical Phase III trial in Guinea and Sierra Leone. The committee considered various parameters, including efficacy in non-human primates the ability to provoke an immune response in humans in the early days after vaccination, and availability.