
News
Advertisement


Advertisement



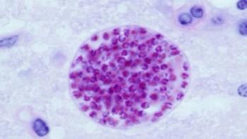
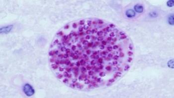
Many factors, both genetic and environmental, have been blamed for increasing the risk of a diagnosis of schizophrenia. Some, such as a family history of schizophrenia, are widely accepted. Others, such as infection with Toxoplasma gondii, a parasite transmitted by soil, undercooked meat and cat feces, are still viewed with skepticism.

Advertisement

















The NIH Clinical Center has discharged Nina Pham, the Texas nurse who was admitted on Oct. 16, 2014 with Ebola virus disease, after confirming that she is now free of the virus.






Advertisement
Advertisement
