
News






Bacillus anthracis bacteria have very efficient machinery for injecting toxic proteins into cells, leading to the potentially deadly infection known as anthrax. A team of MIT researchers has now hijacked that delivery system for a different purpose: administering cancer drugs.

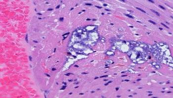
The long-observed association between pneumonia and heart failure now has more physical evidence, thanks to research in the School of Medicine at the University of Texas Health Science Center at San Antonio.

The transplantation of fecal microbiota from a healthy donor has been shown in recent clinical studies to be a safe and highly effective treatment for recurrent Clostridium difficile (C. difficile) infection and is now recommended in European treatment guidelines. Fecal microbiota transplantation (FMT) has emerged as a revolutionary, potentially life-saving treatment for this common, difficult-to-treat infection, and is showing promise in the management of other microbiota-related conditions.





National Institutes of Health (NIH) and Colorado State University (CSU) scientists have provided experimental evidence supporting dromedary camels as the primary reservoir, or carrier, of Middle East respiratory syndrome coronavirus (MERS-CoV). The study, designed by scientists from CSU and NIH's National Institute of Allergy and Infectious Diseases, involved three healthy camels exposed through the eyes, nose and throat to MERS-CoV isolated from a patient. Each camel developed a mild upper respiratory tract infection consistent with what scientists have observed throughout the Middle East.













On March 23, 2014, the World Health Organization (WHO) published formal notification of an outbreak of Ebola virus disease in Guinea on its website. On Aug. 8, 2014, WHO declared the epidemic to be a “public health emergency of international concern.”



