
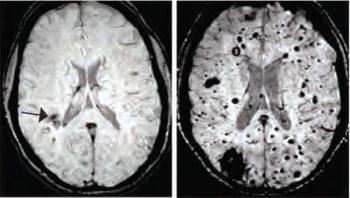
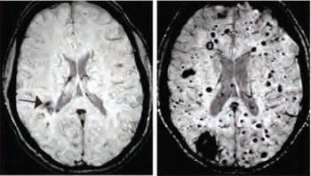
A study in mice and humans suggests that bacteria in the gut can influence the structure of the brain's blood vessels, and may be responsible for producing malformations that can lead to stroke or epilepsy. The research, published in Nature, adds to an emerging picture that connects intestinal microbes and disorders of the nervous system. The study was funded by the National Institute of Neurological Disorders and Stroke (NINDS), a part of the National Institutes of Health (NIH).















