
News


A University of Florida Institute of Food and Agricultural Sciences researcher will return to Brazil to study the ability of two mosquito species to transmit the Zika virus.







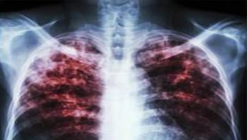
Although tuberculosis (TB) is commonly thought of as being a disease that mainly affects nineteenth century poets and Victor Hugo characters, it is still the second-most common cause of mortality from an infectious disease in the world, killing nearly three people every minute. Every March 24, on World TB Day, the global health community recognizes the work of Robert Koch, who announced on that date in 1882 his discovery of Mycobacterium tuberculosis, the bacteria that causes TB.



Rice University students and their mentors have created a sterilization station for surgical instruments that can help minimize risk of infections to patients anywhere in the world.


Since the passage of the Affordable Care Act, the healthcare industry has introduced a number of regulatory changes to improve patient care. In the past year, following a string of deadly compounding errors, such as a New England meningitis outbreak that resulted in 64 patient deaths, many such changes have focused on standardized guidelines for handling, preparing, and storing drugs in a hospital environment. Two rules in particular, USP <797> and USP <800>, published by the U.S. Pharmacopeial Convention (USP), focus on preventing contamination and will require the attention of patient safety experts in 2016.

Individuals with a psychiatric disorder involving recurrent bouts of extreme, impulsive anger-road rage, for example-are more than twice as likely to have been exposed to a common parasite than healthy individuals with no psychiatric diagnosis.


Malaria affects close to 500 million people every year, but we're not the only ones--different species of malaria parasite can infect birds, bats, and other mammals too. A Field Museum study published in Molecular Phylogenetics and Evolution reveals a new take on the evolution of different malaria species and contributes to the ongoing search for the origins of malaria in humans. "We can't begin to understand how malaria spread to humans until we understand its evolutionary history," explained lead author Holly Lutz, a PhD candidate at Cornell University and a longtime affiliate of The Field Museum. "In learning about its past, we may be better able to understand the effects it has on us."


A group of researchers at the University of Texas at El Paso is working on making it cheaper, faster and easier to test for meningitis and pertussis. Dr. XiuJun “James” Li, assistant professor of chemistry, and Dr. Delfina C. Domínguez, professor of clinical laboratory sciences, have joined efforts to produce a paper-based biochip that can be used in schools, clinics and developing nations.








More cities than previously assumed could soon grapple with the Zika virus if two species of mosquitos are found to be equally effective carriers of the disease, a University of Texas at Austin disease ecologist and his colleagues argue in the current edition of The Lancet Infectious Diseases.

